16 ngày, 2 cuộc đại phẫu cứu cụ bà 89 tuổi ở Bệnh viện Việt Đức
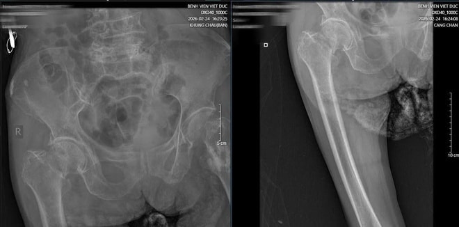
Cụ bà N.T.H (89 tuổi, Nghệ An) nhập viện trong tình trạng đau háng dữ dội, không thể đi lại sau khi ngã. Qua thăm khám tại BV Hữu nghị Việt Đức , các bác sĩ chẩn đoán cụ bị gãy cổ xương đùi.
Ngoài ra, cụ còn mắc nhiều bệnh lý nền như vẹo cột sống, xẹp và trượt đốt sống thắt lưng, khiến việc điều trị trở nên khó khăn.
Trong quá trình kiểm tra tổng quát, các bác sĩ BV Hữu nghị Việt Đức phát hiện dấu hiệu bất thường ở vùng bụng. Kết quả chụp CT cho thấy cụ bị lồng ruột do u với khối lồng dài 165mm. Đây là tình trạng cấp cứu nguy hiểm, có thể gây tắc ruột và đe dọa tính mạng nếu không xử lý kịp thời.



Hình ảnh phim X-quang cụ bà 89 tuổi nhập viện gãy cổ xương đùi phải và hình ảnh chụp CT ổ bụng và phát hiện khối u ruột non gây lồng ruột.
Trước tình huống khẩn cấp, PGS.TS Lê Tư Hoàng cùng ê-kíp của BV Hữu nghị Việt Đức đã quyết định phẫu thuật cấp cứu để cắt bỏ khối u ruột non và xử lý tình trạng lồng ruột. Ca mổ diễn ra an toàn dù người bệnh đã gần 90 tuổi – độ tuổi có nguy cơ cao khi gây mê.
Sau một tuần, khi các chỉ số sức khỏe ổn định, cụ bà tiếp tục bước vào cuộc đại phẫu thứ hai. TS.BS Hoàng Ngọc Sơn đã trực tiếp phẫu thuật thay khớp háng cho cụ. Nhờ sự chuẩn bị kỹ lưỡng của đội ngũ y bác sĩ, ca mổ đã thành công tốt đẹp.

Chỉ sau một tuần thay khớp, cụ bà đã có thể tập đi và vận động gần như bình thường. Đây là kết quả rất khả quan đối với một bệnh nhân cao tuổi vừa trải qua hai cuộc đại phẫu liên tiếp trong vòng 16 ngày.
Thành công này là minh chứng cho sự phối hợp nhịp nhàng giữa các chuyên khoa: Tiêu hóa, Chấn thương chỉnh hình và Gây mê hồi sức tại Khoa Điều trị theo yêu cầu – Bệnh viện Hữu nghị Việt Đức.
Với đội ngũ bác sĩ giàu kinh nghiệm, bệnh viện đã giúp nhiều bệnh nhân cao tuổi vượt qua bệnh hiểm nghèo, sớm trở lại cuộc sống thường ngày.
