Bệnh nhân ung thư gan tiên lượng sống không quá 9 tháng vẫn kiên cường điều trị sau 3 năm
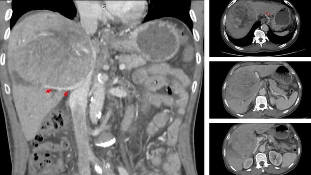
Khối u khổng lồ chiếm gần hết nhu mô gan, chèn ép rốn gan và tĩnh mạch, khiến bệnh nhân bị phù chân và cổ chướng.
Các bác sĩ Trung tâm Phẫu thuật Gan mật - Tiêu hóa (Bệnh viện Bệnh Nhiệt đới Trung ương) vừa điều trị thành công một ca ung thư gan giai đoạn muộn đầy kịch tính. Đây không chỉ là một ca bệnh nặng mà còn là lời cảnh báo về sự chủ quan trước các bệnh lý gan mạn tính.
Bệnh nhân N.V.T (Hà Nội) có tiền sử mắc viêm gan B. Do thấy virus ở thể không hoạt động, ông chủ quan ngừng theo dõi định kỳ. Đến tháng 7/2023, khi xuất hiện triệu chứng mệt mỏi, sụt cân và đi khám, khối u gan đã đạt kích thước 10–12 cm. Một số cơ sở y tế từng tiên lượng ông chỉ còn sống không quá 9 tháng.

BSCKII Nguyễn Trường Giang, Phó Giám đốc Trung tâm cho biết: "Khối u khổng lồ chiếm gần hết nhu mô gan, chèn ép rốn gan và tĩnh mạch, khiến bệnh nhân bị phù chân và cổ chướng".
Các bác sĩ đã thực hiện cuộc đại phẫu cắt gan kéo dài gần 8 giờ. Tuy nhiên, sau mổ, bệnh nhân gặp biến chứng rò mật và hẹp đường mật. Tình trạng càng trở nên tồi tệ khi ông bị nhiễm trùng đường mật do vi khuẩn đa kháng thuốc kèm suy gan.
Trong 5 tháng tiếp theo, sức khỏe ông T. suy kiệt trầm trọng, cân nặng giảm từ 57 kg xuống còn 38 kg, thường xuyên sốt cao 39–40 độ. Đáng chú ý, trong lúc bệnh tình mong manh, gia đình đã cho ông uống thuốc nam không rõ nguồn gốc. Hậu quả là ông bị xuất huyết tiêu hóa, phải cấp cứu khẩn cấp, gây gián đoạn quá trình hồi phục.

Đến tháng 12/2023, khi thể trạng ổn định, các bác sĩ phẫu thuật lần hai để xử lý triệt để nguồn rò mật. Dù sau đó phát hiện thêm hai khối u tái phát, nhưng nhờ sự phối hợp giữa phẫu thuật, nút mạch và đốt u cao tần, các tổn thương đã dần được kiểm soát.
Sau gần 3 năm kiên cường điều trị, hiện tại sức khỏe ông T. đã ổn định, cân nặng phục hồi.
BSCKII Nguyễn Trường Giang nhấn mạnh, viêm gan B và ung thư gan thường không có triệu chứng rõ ràng. Việc theo dõi sát sao là "chìa khóa" để phát hiện bệnh sớm. Tuyệt đối không tự ý cho người bệnh dùng thuốc không rõ nguồn gốc (thuốc nam, thuốc lá...) để tránh các biến chứng nguy hiểm, làm mất đi cơ hội chữa trị tốt nhất.