Bệnh viện K ứng dụng hệ thống siêu âm nội soi phóng đại x150 lần, tạo đột phá về tầm soát, điều trị ung thư
Phóng đại hình ảnh tới 150 lần, phát hiện cả những tổn thương “vô hình” dưới ánh sáng trắng – hệ thống nội soi thế hệ mới tại Bệnh viện K đang tạo bước đột phá trong tầm soát và điều trị ung thư, đặc biệt là ung thư thực quản – căn bệnh có tỷ lệ tử vong cao khi phát hiện muộn.
Phát hiện sớm – yếu tố quyết định tiên lượng ung thư thực quản
Bệnh viện K cơ sở Quán Sứ vừa trang bị thêm 8 hệ thống nội soi hiện đại, trong đó nổi bật là 3 hệ thống EVIS X1 nội soi tiêu hóa – khí phế quản, cùng nhiều hệ thống nội soi chuyên sâu khác như nội soi siêu âm, nội soi tiêu hóa, nội soi tai mũi họng ống mềm.
Đặc biệt, hệ thống EVIS X1 – công nghệ nội soi tiên tiến hàng đầu hiện nay – được trang bị dây soi XZ1200 và EZ1500, cho phép nhuộm màu ảo và phóng đại hình ảnh quang học tới 150 lần. Công nghệ này giúp hiển thị rõ nét các tổn thương dù rất nhỏ, hỗ trợ chẩn đoán chính xác và can thiệp kịp thời các bệnh lý ung thư.

TS.BS Bùi Ánh Tuyết - Trưởng khoa Nội soi thăm dò chức năng cho biết, theo số liệu ghi nhận ung thư tại Việt Nam, ung thư thực quản nằm trong 15 bệnh ung thư thường gặp nhất với 3.686 ca chẩn đoán mới, 3.470 ca tử vong mỗi năm.
Phần lớn bệnh nhân ung thư thực quản được phát hiện ở giai đoạn muộn với các triệu chứng rõ ràng như nuốt vướng, nghẹn tăng dần, ho khàn tiếng do khối u xâm lấn vào tổ chức lân cận, giai đoạn này thường không thể phẫu thuật được, điều trị hóa xạ trị đồng thời thường được chỉ định nhưng tiên lượng không quá khả quan.Việc bệnh nhân đến các cơ sở y tế khám bệnh ở giai đoạn muộn khiến hiệu quả của việc chữa bệnh bị giảm rất nhiều.
Trong khi đó, nếu được phát hiện sớm, hiệu quả điều trị có thể cải thiện rõ rệt. Theo các nghiên cứu tại Nhật Bản, tỷ lệ sống sau 5 năm ở bệnh nhân ung thư thực quản giai đoạn sớm có thể đạt trên 90%.
Công nghệ nội soi phóng đại x150: "Nhìn thấy" tổn thương siêu nhỏ, can thiệp tối thiểu
Ung thư thực quản sớm là tổn thương ung thư khu trú tại lớp niêm mạc và dưới niêm mạc và chưa xâm lấn vào cơ thực quản. Trước đây việc chẩn đoán ung thư thực quản chủ yếu dựa vào nội soi xác định tổn thương và sinh thiết làm xét nghiệm mô bệnh học.
Nhưng nội soi ống mềm với ánh sáng trắng thường khó phát hiện được tổn thương sớm tại thực quản do tổn thương nhỏ và có màu sắc tương đối đồng nhất với niêm mạc xung quanh.

Các bác sĩ Bệnh viện K sử dụng hệ thống máy nội soi nội soi nhuộm màu phóng đại Olympus EVIS X1 hiện đại nhất giúp hình ảnh sắc nét, hiển thị rõ tổn thương dù là nhỏ nhất, có chức năng nhuộm màu bằng ánh sáng và phóng đại trên 150 lần, giúp phân tích rõ ràng vi cấu trúc và vi mạch máu của tổn thương, đưa ra nhận định chính xác về tính chất tế bào học của tổn thương, phân biệt tổn thương ung thư và không ung thư từ đó đưa ra hướng can thiệp kịp thời cho người bệnh.
"Mục đích của nội soi phóng đại là giúp phát hiện sớm và phân biệt các tổn thương ung thư đường tiêu hóa thuờng gặp ở dạ dày, thực quản, đại trực tràng"- TS.BS Bùi Ánh Tuyết cho biết.
Không chỉ dừng lại ở chẩn đoán, công nghệ này còn cho phép điều trị ngay từ giai đoạn sớm bằng phương pháp cắt tách dưới niêm mạc qua nội soi (ESD) – can thiệp tối thiểu, giúp giảm chi phí và nâng cao chất lượng sống cho người bệnh.
Đánh giá chính xác giai đoạn bệnh, tránh can thiệp không cần thiết
Việc ứng dụng các công nghệ xử lý hình ảnh tiên tiến để chẩn đoán và phân loại ung thư thực quản không chỉ đơn thuần là để tầm soát, phát hiện ung thư ở giai đoạn sớm mà mục tiêu chính yếu của Bệnh viện K là điều trị tổn thương ung thư ở ngay giai đoạn sớm bằng can thiệp qua nội soi.
Một bệnh nhân 63 tuổi đã được phát hiện ung thư thực quản giai đoạn sớm nhờ công nghệ này và điều trị thành công, xuất viện sau 2 ngày.
Trong một trường hợp khác, bệnh nhân 67 tuổi được phát hiện tổn thương qua nội soi công nghệ cao. Tuy nhiên, qua đánh giá chuyên sâu, bác sĩ xác định tổn thương đã vượt chỉ định điều trị nội soi và chuyển sang phẫu thuật.
Kết quả mô bệnh học sau đó xác nhận ung thư đã xâm lấn dưới niêm mạc, phù hợp với chỉ định ngoại khoa.



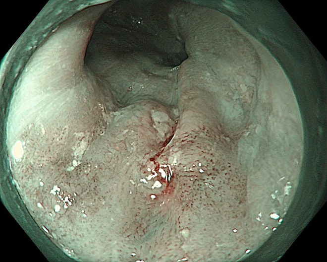
Hình ảnh tổn thương thực quản của bệnh nhân.
Thực tế này cho thấy vai trò quan trọng của nội soi công nghệ cao kết hợp với kinh nghiệm lâm sàng trong việc đánh giá chính xác giai đoạn bệnh, từ đó đưa ra phương pháp điều trị phù hợp, tối ưu.
Theo các chuyên gia, ung thư thực quản đang có xu hướng gia tăng và trẻ hóa. Nếu trước đây bệnh thường gặp ở người trên 50 tuổi thì hiện nay đã xuất hiện ở độ tuổi trẻ hơn.
Để phòng ngừa, người dân cần duy trì chế độ ăn uống lành mạnh, hạn chế rượu bia, thuốc lá, tăng cường rau xanh, trái cây và tập luyện thể dục thường xuyên.
Đặc biệt, những người có yếu tố nguy cơ hoặc xuất hiện các triệu chứng như nuốt vướng, sụt cân không rõ nguyên nhân cần đi khám sớm để được tầm soát và điều trị kịp thời.