Can thiệp kịp thời cứu cụ ông 86 tuổi sốc tim nguy kịch
Các bác sĩ Bệnh viện Đa khoa tỉnh Quảng Ninh đã can thiệp cấp cứu thành công cho bệnh nhân 86 tuổi ở phường Quang Hanh bị nhồi máu cơ tim biến chứng sốc tim vô cùng nguy kịch.
Bệnh nhân là ông P.V.P. (86 tuổi, trú tại phường Quang Hanh, tỉnh Quảng Ninh), nhập viện trong tình trạng đau tức ngực dữ dội.
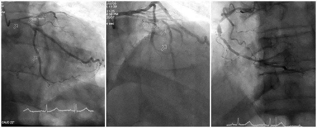
Kết quả chụp mạch vành cho thấy tổn thương nặng cả ba thân động mạch vành: động mạch liên thất trước hẹp tới 90–99%, gần như tắc hoàn toàn; động mạch mũ và động mạch vành phải hẹp 80–90%, thành mạch vôi hóa nhiều, gây khó khăn lớn cho quá trình can thiệp.
Qua thăm khám, các bác sĩ chẩn đoán người bệnh bị nhồi máu cơ tim cấp kèm biến chứng sốc tim, huyết động không ổn định, chức năng tim suy giảm nghiêm trọng.

TTƯT.BSCKII Trần Quang Định, Trưởng khoa Phẫu thuật và Can thiệp Tim mạch, Bệnh viện Đa khoa tỉnh Quảng Ninh cho biết: Đây là ca can thiệp đặc biệt khó do người bệnh tuổi cao, thể trạng yếu, đang trong tình trạng sốc tim và hệ thống mạch vành vôi hóa nặng. Việc đưa dây dẫn và dụng cụ qua các tổn thương tiềm ẩn nhiều nguy cơ, đòi hỏi ê-kíp phải hết sức thận trọng, chính xác trong từng thao tác. Nếu không tái thông kịp thời mạch vành, vùng cơ tim tiếp tục hoại tử, nguy cơ tử vong rất cao.

Trước tình huống đó, ê-kíp can thiệp đã nhanh chóng hội chẩn, lựa chọn chiến lược phù hợp, tập trung xử trí tổn thương nặng nhất. Bằng kinh nghiệm và sự phối hợp nhịp nhàng, các bác sĩ đã vượt qua đoạn mạch vôi hóa cứng, nong bóng và đặt thành công stent vào động mạch liên thất trước, giúp tái thông dòng máu nuôi tim.
Sau can thiệp, tình trạng huyết động của người bệnh dần ổn định, nhịp tim cải thiện, hết đau tức ngực. Hiện, người bệnh tiếp tục được theo dõi, điều trị tích cực tại bệnh viện.