Cụ bà U100 vẫn được tiếp cận kỹ thuật tim mạch hiện đại ngay tại Tây Nam Bộ
Ở tuổi 97, khi sức khỏe đã bước sang ngưỡng “xưa nay hiếm”, cụ bà T.T.N (trú tỉnh An Giang) bất ngờ rơi vào tình trạng rối loạn nhịp tim nguy hiểm. Điều đáng nói, thay vì phải chuyển tuyến xa, cụ đã được can thiệp bằng kỹ thuật tim mạch hiện đại ngay tại khu vực Đồng bằng sông Cửu Long.
Mới đây, cụ N. buộc phải nhập viện trong tình trạng mệt kéo dài, khó thở, nặng ngực. Kết quả điện tâm đồ xác định block nhĩ thất hoàn toàn – dạng rối loạn nhịp nặng, có thể dẫn đến suy tim, ngất hoặc đe dọa tính mạng nếu không xử trí kịp thời.
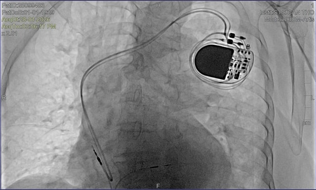
Trước tình thế đó, ê-kíp bác sĩ Bệnh viện Đa khoa Quốc tế S.I.S Cần Thơ đã nhanh chóng đặt máy tạo nhịp tạm thời để ổn định huyết động, đồng thời thực hiện các thăm dò chuyên sâu, trong đó có chụp mạch vành bằng DSA. Sau khi đánh giá toàn diện và hội chẩn, các bác sĩ thống nhất chỉ định cấy máy tạo nhịp vĩnh viễn bằng kỹ thuật bó nhánh trái – một phương pháp tiên tiến hiện chưa phổ biến rộng rãi.

BS.CKII Nguyễn Mạnh Cường – Phó khoa Nội Tổng hợp Bệnh viện S.I.S Cần Thơ cho biết, đây là bệnh nhân lớn tuổi nhất từng được bệnh viện thực hiện kỹ thuật này. Thách thức không chỉ đến từ tuổi cao mà còn ở đặc điểm rối loạn nhịp phức tạp, đòi hỏi thao tác chính xác và kiểm soát chặt chẽ trong suốt quá trình can thiệp.
Khác với cách tạo nhịp truyền thống, kỹ thuật bó nhánh trái giúp tái lập dẫn truyền điện học gần với sinh lý tự nhiên, bảo tồn chức năng co bóp của thất trái và giảm nguy cơ suy tim lâu dài. Với người cao tuổi, ưu điểm này càng có ý nghĩa khi mục tiêu điều trị không chỉ là kéo dài sự sống mà còn duy trì chất lượng sống.
"Ca can thiệp diễn ra thuận lợi. Sau thủ thuật, nhịp tim cụ ổn định, các triệu chứng giảm rõ rệt. Chỉ sau 4 ngày điều trị, cụ đủ điều kiện xuất viện trong sự xúc động của gia đình", BS. Cường thông tin thêm trong hôm nay (12/2).

Câu chuyện của cụ bà 97 tuổi không chỉ là thành công chuyên môn đơn lẻ, mà còn phản ánh bước tiến của y tế khu vực Đồng bằng sông Cửu Long trong việc tiếp cận và làm chủ các kỹ thuật tim mạch chuyên sâu. Trước đây, nhiều trường hợp rối loạn nhịp phức tạp thường phải chuyển lên TPHCM hoặc các trung tâm lớn, kéo theo nguy cơ chậm trễ điều trị và tăng chi phí cho người bệnh.
Việc triển khai kỹ thuật cấy máy tạo nhịp bó nhánh trái ngay tại Cần Thơ cho thấy năng lực chuyên môn, hệ thống trang thiết bị và đội ngũ nhân lực chất lượng cao đã được đầu tư bài bản. Điều này mở ra cơ hội điều trị kịp thời cho người dân trong khu vực, đặc biệt là nhóm bệnh nhân cao tuổi – vốn chiếm tỷ lệ ngày càng lớn trong cơ cấu dân số.
Trong bối cảnh già hóa dân số diễn ra nhanh, những ca bệnh như cụ bà T.T.N cho thấy, tuổi cao không còn là rào cản tuyệt đối để tiếp cận kỹ thuật cao. Khi chuyên môn và công nghệ được đưa về gần người dân hơn, cơ hội sống khỏe cũng được kéo dài thêm – ngay trên chính quê hương mình.