Y tế - Dược
Thời sự - Xã hội
Sức khỏe
Thị Trường
Bảo vệ người dùng
Quốc tế
Chuyện tử tế
Tin mới
Ảnh - Video - Emagazine
Y tế - Dược
Thời sự - Xã hội
Sức khỏe
Thị Trường
Bảo vệ người dùng
Quốc tế
Chuyện tử tế
Tin mới
Ảnh - Video - Emagazine
cụ ông
Cập nhập tin tức cụ ông
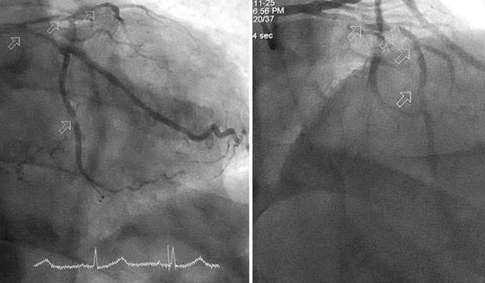
Can thiệp kịp thời cứu cụ ông 86 tuổi sốc tim nguy kịch
Các bác sĩ Bệnh viện Đa khoa tỉnh Quảng Ninh đã can thiệp cấp cứu thành công cho bệnh nhân 86 tuổi ở phường Quang Hanh bị nhồi máu cơ tim biến chứng sốc tim vô cùng nguy kịch.
Tin mới
Hút nhiều cục máu đông cứu cụ ông 97 tuổi khỏi nguy cơ cắt cụt tay
Các bác sĩ Khoa Tim mạch Can thiệp, Bệnh viện Hữu Nghị vừa hút thành công nhiều cục máu đông trong động mạch cánh tay cho một bệnh nhân 97 tuổi. Nhờ can thiệp kịp thời, bệnh nhân đã thoát khỏi nguy cơ hoại tử chi.
Ca mổ kéo dài 6h cứu cụ ông 81 tuổi thoát cửa tử ngày đầu năm mới
Qua thăm khám lâm sàng và chụp cắt lớp vi tính sọ não, các bác sĩ xác định cụ ông 81 tuổi bị tụ máu dưới màng cứng bán cấp hai bên với số lượng lớn. Trước tình thế nguy cấp, kíp mổ bệnh viện nhanh chóng thực hiện phẫu thuật cứu sống bệnh nhân.
‘Truy vết’ xuyên đêm bằng camera AI, kịp thời cứu cụ ông đi lạc bị hạ đường huyết
Nhóm lửa sưởi ấm gây cháy nhà, cụ ông tử vong thương tâm
Ho khan nhiều tháng, cụ ông bất ngờ được phát hiện dị vật mắc sâu trong đường thở
Cụ ông 65 tuổi mù mờ mắt, biến chứng nguy hiểm do giang mai thần kinh
Thay khớp háng giúp cụ ông 85 tuổi phục hồi vận động sau gãy cổ xương đùi
19/11/2025 10:47
Một cú va quẹt tưởng chừng đơn giản khi đang đạp xe đã khiến cụ ông T.Đ.U. (85 tuổi, ngụ TP.HCM) bị gãy cổ xương đùi, không thể đứng dậy hay đi lại. Đây là chấn thương nghiêm trọng ở người cao tuổi, có thể gây tàn phế nếu không được điều trị kịp thời.
Tiếp cận khu vực bị lũ chia cắt đưa cụ ông nguy kịch đi cấp cứu
18/11/2025 13:28
Trước tình huống cấp bách, lực lượng quân đội vượt vùng lũ chia cắt, triển khai xe đặc chủng đưa cụ ông bệnh nặng đến bệnh viện cấp cứu kịp thời.
Cụ ông 80 tuổi choáng, khó thở, ngất tại chỗ, bác sĩ phát hiện bị hẹp khít van động mạch chủ
09/11/2025 20:16
Mới đây, các bác sĩ khoa Nội tim mạch người lớn, Trung tâm tim mạch, Bệnh viện E vừa thực hiện thay van động mạch chủ qua da cho người bệnh (80 tuổi, ở xã Dương Quan, Hải Phòng).
Cứu sống cụ ông 80 tuổi suy hô hấp nguy kịch
07/11/2025 12:42
Cụ ông 80 tuổi mắc bệnh phổi tắc nghẽn mạn tính (COPD) nhiều năm được đưa vào Bệnh viện Phổi Nghệ An trong tình trạng suy hô hấp nặng, SpO₂ chỉ còn 70%, tiên lượng tử vong cao. Nhờ sự can thiệp kịp thời và điều trị tích cực của các bác sĩ, bệnh nhân đã được cứu sống ngoạn mục.
Đội cấp cứu tim mạch Giờ Vàng FV cứu cụ ông 80 tuổi thoát đột quỵ và nhồi máu cơ tim cấp
06/11/2025 16:59
Ông N.V.T. (80 tuổi, Việt kiều Pháp) nhập viện tuyến tỉnh trong tình trạng tức ngực, khó thở, phù phổi cấp, yếu liệt tay chân. Các bác sĩ xác định bệnh nhân có dấu hiệu đột quỵ não và nhồi máu cơ tim cấp cùng lúc - một tình huống y khoa hiếm gặp và nguy hiểm.
Hồi sinh sự sống cho cụ ông 70 tuổi bị nhồi máu cơ tim cấp trong đêm
05/11/2025 13:44
Mới đây, vào đêm 3/11, đội ngũ y bác sĩ của Bệnh viện Đa khoa khu vực Cẩm Phả (tỉnh Quảng Ninh) đã "hồi sinh sự sống" cho cụ ông Hà Huy H (70 tuổi, trú tại phường Mông Dương) bị nhồi máu cơ tim cấp nguy kịch...
Bệnh viện Hữu Nghị cắt bỏ u tuyến tiền liệt 'khủng' 600 gram cho cụ ông 83 tuổi
31/10/2025 10:15
Các bác sĩ Khoa Ngoại – Tiết niệu, Bệnh viện Hữu Nghị vừa phẫu thuật thành công cho bệnh nhân nam 83 tuổi có tuyến tiền liệt kích thước "khủng" lên tới 600 gram – gấp hàng chục lần so với bình thường.
Kịp thời cứu cụ ông U90 bị sóng biển cuốn trôi
27/10/2025 15:00
Chiều 27/10, ông Đàm Hải Vân – Giám đốc Ban Quản lý vịnh Nha Trang (Khánh Hòa) cho biết, sau khi được cứu sống, sức khỏe của cụ ông bị sóng biển cuốn đã ổn định.
Ngất xỉu tại nhà, cụ ông được phát hiện chảy máu dạ dày nặng
15/10/2025 06:42
Cụ ông 79 tuổi phải nhập viện cấp cứu vì ngất tại nhà, nguyên nhân được xác định là chảy máu dạ dày do ổ loét lớn. Các bác sĩ cảnh báo, nhiều người cao tuổi chủ quan với triệu chứng mệt, hoa mắt, da xanh xao… trong khi đó có thể là dấu hiệu thiếu máu nặng do xuất huyết tiêu hóa.
Chủ quan với 2 nốt mụn nhọt, cụ ông 76 tuổi sốc nhiễm khuẩn, hoại tử vùng đùi
13/10/2025 11:01
Chỉ với một đến hai nốt mụn nhọt ở vùng mông, ông Đ.Q.T (76 tuổi, ở Hải Phòng) đã rơi vào tình trạng nguy kịch.
Cụ ông 90 tuổi nguy kịch sau bữa cơm tối
06/10/2025 17:07
Bệnh viện Bệnh Nhiệt đới Trung ương vừa cứu sống thành công cụ ông N.V.S (90 tuổi, ở Hà Nội) bị tắc nghẽn đường thở trong lúc ăn tối.
Cụ ông 77 tuổi mắc đồng thời phì đại tuyến tiền liệt, thoát vị bẹn và khối u mỡ khổng lồ
25/09/2025 09:08
Các bác sĩ Bệnh viện E vừa phẫu thuật cho cụ ông bị mắc đồng thời 3 căn bệnh phì đại tuyến tiền liệt, thoát vị bẹn và khối u mỡ khổng lồ. Người bệnh chịu các biểu hiện khó chịu như tiểu khó, tiểu nhiều, thậm chí có máu, vùng bìu bệnh nhân có khối bất thường ảnh hưởng tới sinh hoạt.
Tìm thấy cụ ông 78 tuổi sau 5 ngày lạc trong rừng
23/09/2025 15:32
Lực lượng chức năng tỉnh Lâm Đồng đã tìm thấy ông R Ông Ha Hoanh (78 tuổi) bị lạc trong rừng từ ngày 18/9.
Cụ ông 80 tuổi thủng ruột do xương cá
23/09/2025 04:10
Một cụ ông 80 tuổi nhập viện trong tình trạng đau bụng dữ dội, tính mạng nguy kịch. Nguyên nhân được các bác sĩ tìm thấy sau đó lại là một vật vô cùng quen thuộc trong bữa ăn hàng ngày, một mối nguy hiểm mà rất nhiều người thường bỏ qua và xử lý sai cách.
Huy động gần trăm người tìm cụ ông 78 tuổi mất tích 5 ngày khi đi hái nấm
22/09/2025 14:37
Gần 100 người đã được huy động để tìm kiếm cụ ông 78 tuổi mất tích 5 ngày khi vào rừng hái nấm.
Xem thêm
Đọc nhiều
POWERED BY
ONE
CMS
- A PRODUCT OF
NEKO