Cứu sống bệnh nhân hai lần ngưng tim
Người phụ nữ 77 tuổi, đột ngột mệt, thở ngáp rồi ngừng tim, hôn mê tại nhà tưởng như đã không qua khỏi. Nhờ báo động đỏ toàn viện và can thiệp mạch vành thần tốc các bác sĩ Bệnh viện Đa khoa Trung ương Quảng Nam đã cứu sống người bệnh.
Bà Nguyễn Thị Nhung (77 tuổi, trú xã Núi Thành, TP. Đà Nẵng) được đưa đến Khoa Cấp cứu, Bệnh viện Đa khoa Trung ương Quảng Nam ngày 22/10 trong tình trạng ngưng tim, ngưng thở.
Trước đó khoảng một giờ, người bệnh đột ngột mệt, thở ngáp rồi ngưng thở, hôn mê, tím tái. Người nhà lập tức gọi cấp cứu 115. Đội cấp cứu tiến hành hồi sinh tim phổi tại nhà, sau vài phút, người bệnh có mạch trở lại. Người bệnh được xe cấp cứu đưa đến Bệnh viện Đa khoa Trung ương Quảng Nam.
Trên đường đến bệnh viện, người bệnh tiếp tục ngưng tim trở lại. Khi tiếp nhận tại Khoa Cấp cứu, người bệnh ngưng thở, tím tái, không đo được mạch, huyết áp. Các bác sĩ Khoa Cấp cứu đã kích hoạt báo động đỏ, khẩn trương thực hiện đặt nội khí quản và hồi sinh tim phổi nâng cao.

Sau hồi sinh tim phổi khoảng 15 phút, bệnh nhân có mạch trở lại, huyết áp đo được 80/50 mmHg, phụ thuộc 2 loại vận mạch. Điện tâm đồ cho thấy thiếu máu cơ tim lan tỏa. Siêu âm tim cấp cứu cho thấy giảm vận động nặng nhiều vùng cơ tim.
Bác sĩ tiến hành hội chẩn khẩn đa chuyên khoa xác định chẩn đoán nhồi máu cơ tim cấp, biến chứng ngưng tim ngưng thở.
BS.CKII. Trần Thị Duyên, Trưởng khoa Cấp cứu, Bệnh viện Đa khoa Trung ương Quảng Nam nhận định: "Đây là trường hợp ngưng tim, ngưng thở ngoại viện, khả năng cao do nhồi máu cơ tim cấp, có biến chứng ngưng tim, tiên lượng rất nặng, tỷ lệ tử vong rất cao nếu không được cấp cứu và can thiệp kịp thời".
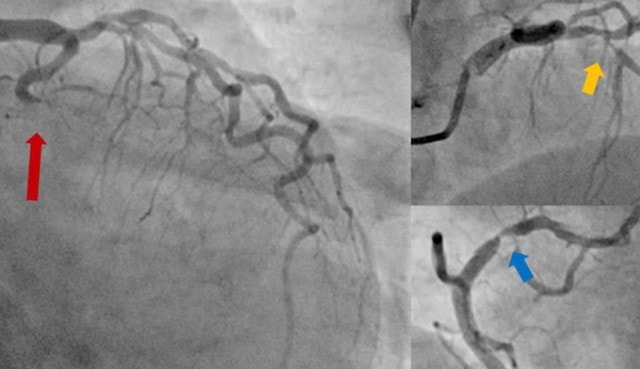
Bệnh nhân sau đó được đưa đến phòng DSA để được chụp động mạch vành cấp cứu. Kết quả chụp mạch vành cho thấy tắc hoàn toàn động mạch mũ, hẹp nặng động mạch liên thất trước và vành phải.

Sau hội chẩn, các bác sĩ nhận định: Đây là trường hợp ngưng tim sau nhồi máu cơ tim, với "thủ phạm" là tắc hoàn toàn động mạch mũ, đồng thời hẹp nặng cả hai nhánh động mạch vành còn lại.
Việc can thiệp tái thông hoàn toàn cả động mạch thủ phạm và hai động mạch hẹp nặng là phù hợp với các khuyến cáo hiện hành và sẽ giúp khả năng cứu được người bệnh cao hơn.
Sau khi giải thích kỹ chẩn đoán, định hướng điều trị, các lợi ích và nguy cơ của thủ thuật cho người nhà, bệnh nhân lần lượt được can thiệp nong bóng và đặt stent thành công cả ba nhánh động mạch mũ, động mạch liên thất trước và động mạch vành phải.
Người bệnh sau đó được chuyển lên Khoa Hồi sức tích cực – chống độc để tiếp tục điều trị. Tại Khoa Hồi sức, người bệnh tiếp tục được thở máy và sử dụng các thuốc an thần, kháng sinh, thuốc điều trị nhồi máu cơ tim và suy tim cấp.
BS.CKI. Trần Trường Giang, Trưởng Khoa Hồi sức tích cực - chống độc thông tin: "Đây là trường hợp nhồi máu cơ tim, có biến chứng ngưng tim, tiên lượng rất nặng. Mặc dù người bệnh đã được tái thông toàn bộ mạch vành, nhưng tình trạng suy tim cấp nặng sau nhồi máu cơ tim, cộng với tình trạng bội nhiễm phổi, tràn dịch màng tim, rối loạn điện giải, khả năng tổn thương não do ngưng tim nhiều lần làm cho nguy cơ tử vong của người bệnh tăng lên rất cao".
Sau khi điều trị tích cực tại Khoa Hồi sức hơn 10 ngày, bệnh nhân dần hồi phục, tình trạng nhiễm trùng cải thiện, chức năng tim dần trở về bình thường, người bệnh tỉnh táo, không đau ngực.
Người bệnh sau đó được chuyển cho khoa Nội tim mạch và tiếp tục được điều trị thêm 5 ngày trước khi xuất viện trong tình trạng ổn định.
TS.BS. Phan Tấn Quang – Phó Giám đốc Bệnh viện Đa khoa Trung ương Quảng Nam kiêm Trưởng khoa Nội Tim mạch nói: "Đây là một ca nhồi máu cơ tim cấp có biến chứng ngưng tim, tổn thương nhiều mạch vành, tiên lượng rất nặng.
Việc phát hiện ngưng tim kịp thời, thực hiện hồi sinh tim phổi thành công và can thiệp tái thông mạch vành trong thời gian ngắn nhất đã giúp người bệnh có cơ hội hồi phục hoàn toàn. Điều đó cho thấy năng lực xử trí cấp cứu tim mạch của bệnh viện đã có nhiều tiến bộ, dần tiệm cận các trung tâm tim mạch trong cả nước".
