Cứu sống bệnh nhân vỡ gan độ IV bằng kỹ thuật can thiệp nội mạch
Trưa ngày 31/3/2026, các bác sĩ Bệnh viện hữu nghị Việt Nam - Cuba Đồng Hới đã kịp thời cứu sống một bệnh nhân bị vỡ gan độ IV, sốc mất máu nặng sau tai nạn giao thông nhờ sự phối hợp nhịp nhàng giữa hồi sức và can thiệp nội mạch.

Bệnh nhân vỡ gan, gãy 5 xương sườn, rơi vào tình trạng nguy kịch
Vào trưa ngày 31/3, Khoa Cấp cứu, Bệnh viện hữu nghị Việt Nam - Cuba Đồng Hới, Quảng Trị tiếp nhận bệnh nhân P. V. C (55 tuổi, trú tại xã Quảng Ninh, tỉnh Quảng Trị) trong tình trạng chướng và đau bụng dữ dội sau tai nạn giao thông.
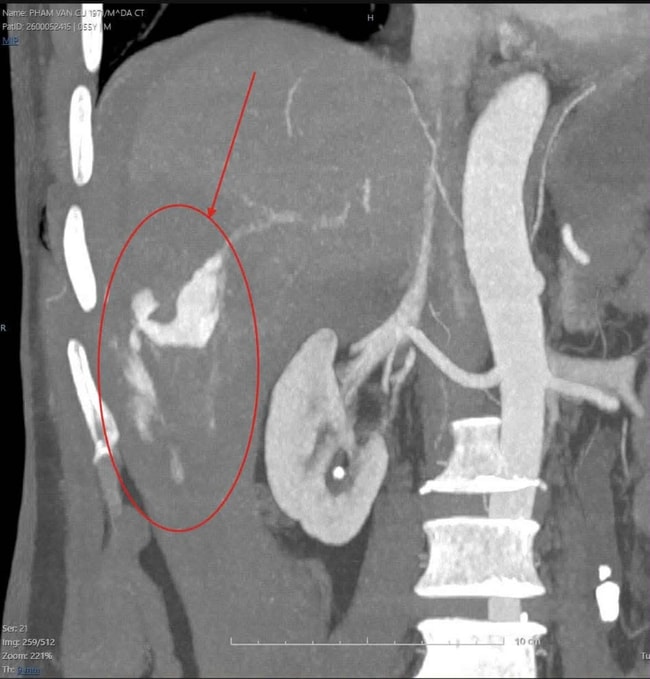
Kết quả chụp cắt lớp vi tính mạch máu bơm thuốc cản quang (CTA) cho thấy bệnh nhân bị chấn thương cực kỳ nghiêm trọng: Vỡ gan độ IV tại hạ phân thùy VI, máu chảy ồ ạt trong ổ bụng. Ngoài ra, bệnh nhân còn bị gãy hàng loạt xương sườn số 6, 7, 8, 9 và 10 bên phải.
Điều đáng chú ý là diễn biến bệnh lý thay đổi rất nhanh. Ngay trên bàn chụp phim, bệnh nhân bắt đầu tụt huyết áp và rơi vào trạng thái sốc mất máu, đe dọa trực tiếp đến tính mạng.

20 phút "vàng" giành giật sự sống cho người bệnh
Trước tình thế cấp bách, một cuộc hội chẩn chớp nhoáng ngay tại chỗ giữa các bác sĩ chuyên khoa Cấp cứu, Ngoại và Điện quang can thiệp đã diễn ra. Các bác sĩ quyết định lựa chọn phương án tối ưu nhất đó là: Vừa hồi sức vừa can thiệp nội mạch - nút mạch cầm máu để bảo tồn gan vỡ, thay vì phẫu thuật mở truyền thống vốn tiềm ẩn nhiều rủi ro khi bệnh nhân đang sốc nặng.
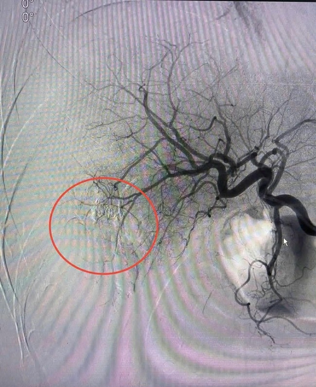
Bác sĩ Nguyễn Đức Hùng- Trưởng khoa Chẩn đoán hình ảnh và Điện quang can thiệp, người trực tiếp thực hiện ca can thiệp, cùng ekip đã tiến hành luồn vi ống thông từ động mạch đùi đến vị trí động mạch gan đang chảy máu. Dưới màn hình tăng sáng, các bác sĩ đã bơm vật liệu gây tắc mạch để bít hoàn toàn điểm vỡ.
Chỉ sau 20 phút vừa hồi sức tích cực vừa can thiệp, vị trí chảy máu đã được kiểm soát hoàn toàn. Huyết áp của bệnh nhân dần trở lại bình thường, các chỉ số sinh tồn ổn định, chính thức thoát khỏi tình trạng sốc nguy kịch.

Hiện tại, sức khỏe của bệnh nhân đã ổn định và đang được tiếp tục theo dõi, điều trị tiếp các tổn thương phối hợp tại bệnh viện.
Theo các bác sĩ, kỹ thuật nút mạch trong chấn thương tạng đặc (như gan, thận, lách) là một bước tiến lớn, giúp bệnh nhân tránh được những cuộc đại phẫu nặng nề, giảm mất máu và rút ngắn thời gian hồi phục đáng kể. Việc triển khai thành công kỹ thuật này ngay tại tuyến tỉnh như Bệnh viện hữu nghị Việt Nam - Cuba Đồng Hới, Quảng Trị mở ra cơ hội sống cho nhiều bệnh nhân chấn thương nặng tại khu vực.