'Giải cứu' mắt lồi do rò động mạch cảnh xoang hang phức tạp bằng can thiệp nội mạch

Gia Thiên 30/03/2026 09:17

Ngày 29/3, các bác sĩ Bệnh viện Hữu nghị Việt Nam Cuba Đồng Hới và các bác sĩ thuộc Viện Điện quang và Chẩn đoán can thiệp- Bệnh viện Bạch Mai can thiệp thành công một ca bệnh hiếm, bệnh nhân bị lồi mắt kéo dài do rò động mạch cảnh xoang hang.

Sau đó, các bác sĩ đã kịp thời phát hiện và tìm ra nguyên nhân của tình trạng trên là do bệnh nhân bị rò động mạch cảnh xoang hang (CCF). Sau khi được nút lỗ rò bằng kỹ thuật can thiệp nội mạch, tình trạng lồi mắt bệnh nhân đã cải thiện ngoạn mục và bảo tồn hoàn toàn thị lực.

'Giải cứu' mắt lồi do rò động mạch cảnh xoang hang phức tạp bằng can thiệp nội mạch- Ảnh 1.
Ê kíp can thiệp cho bệnh nhân bị rò động mạch cảnh xoang hang.

Mắt lồi to, đau nhức, tiếng ù trong tai do rò động mạch cảnh xoang hang

Đó là trường hợp của một cụ bà tên N.T.K, 80 tuổi (trú tại xã Phú Trạch, tỉnh Quảng Trị), vào Khoa Mắt, Bệnh viện Hữu nghị Việt Nam Cuba Đồng Hới, Quảng Trị khám với dấu hiệu mắt trái bị lồi to, đỏ mắt kéo dài. Ngoài ra, bà K. còn xuất hiện các triệu chứng đau nhức mắt và đặc biệt là tiếng ù tai theo nhịp mạch đập rì rầm liên tục trong đầu.

Bệnh nhân K. cho biết, trước đó 3 tháng xuất hiện đỏ mắt, từng bị nhầm lẫn với viêm kết mạc thông thường, nhưng việc điều trị nội khoa không mang lại kết quả.

'Giải cứu' mắt lồi do rò động mạch cảnh xoang hang phức tạp bằng can thiệp nội mạch- Ảnh 2.
'Giải cứu' mắt lồi do rò động mạch cảnh xoang hang phức tạp bằng can thiệp nội mạch- Ảnh 3.

Hình ảnh mắt bệnh nhân trước (bên trái) và sau (bên phải) can thiệp.

Khi thăm khám cho bệnh nhân, các bác sĩ Khoa Mắt phát hiện mắt trái của cụ K. giảm thị lực, tăng nhãn áp, lồi mắt, giãn tĩnh mạch thượng củng mạc, phù nề kết mạc, hạn chế vận nhãn. Nghi ngờ bệnh nhân bị rò động mạch cảnh xoang hang trái, các bác sĩ đã chỉ định chụp X- Quang số hoá xoá nền (DSA) và có kết quả rò động mạch cảnh xoang hang bên trái.

Rò động mạch cảnh xoang là tình trạng thông nối bất thường giữa hệ thống động mạch cảnh và xoang tĩnh mạch hang, khiến áp lực tĩnh mạch mắt tăng cao, gây ra các triệu chứng điển hình trên.

Cuộc hồi sinh từ phòng can thiệp DSA

Nhận định đây là ca bệnh có diễn tiến phức tạp, nếu không điều trị kịp thời có thể dẫn đến mù lòa vĩnh viễn hoặc xuất huyết não, ê-kíp các bác sĩ can thiệp mạch của hai bệnh viện đã quyết định thực hiện phương pháp can thiệp nội mạch nút lỗ rò. Dưới sự hỗ trợ của hệ thống chụp mạch số hóa xóa nền (DSA), các bác sĩ đã khéo léo đưa ống thông (microcatheter) từ động mạch đùi lên vị trí tổn thương tại xoang hang.

'Giải cứu' mắt lồi do rò động mạch cảnh xoang hang phức tạp bằng can thiệp nội mạch- Ảnh 5.
Các bác sĩ đã can thiệp nút lỗ rò động mạch cảnh xoang hang dưới sự hỗ trợ của hệ thống chụp mạch số hóa xóa nền (DSA).

Tại đây, vật liệu can thiệp Coil và keo sinh học được đưa vào để bít kín lỗ rò một cách chính xác nhất, giúp tái lập lại dòng chảy bình thường cho mạch máu não. Ca can thiệp diễn ra thành công tốt đẹp.

Chỉ 24 giờ sau thủ thuật, tiếng ù tai trong đầu bệnh nhân hoàn toàn biến mất, tình trạng lồi mắt giảm rõ rệt, mắt hết đỏ và thị lực phục hồi tốt trong sự vui mừng của gia đình và đội ngũ y bác sĩ.

Lời khuyên từ các chuyên gia 

PGS.TS. Vũ Đăng Lưu - Viện trưởng Viện Điện quang Chẩn đoán và Can thiệp- Bệnh viện Bạch Mai cho biết: "Rò động mạch cảnh xoang hang thường xuất hiện sau chấn thương sọ não (do tai nạn giao thông, tai nạn sinh hoạt) hoặc đôi khi xảy ra tự phát ở người lớn tuổi có bệnh lý nền mạch máu. Bệnh nhân này trên nền người già, bệnh tự phát, bản thân có dị dạng mạch máu, thiểu sản tĩnh mạch cảnh trong phải, kèm theo tắc mạch chi… Đây là một trong những trường hợp khó, nhưng ê-kíp của chúng tôi đã nút lỗ rò thành công.

Đây cũng là kỹ thuật mà chúng tôi chuyển giao thành công cho các bác sĩ Khoa Chẩn đoán hình ảnh và Điện quang can thiệp- Bệnh viện hữu nghị Việt Nam- Cuba Đồng Hới, giúp cho các bác sĩ nắm vững kỹ thuật và can thiệp cho những bệnh nhân về sau, đồng thời giúp bệnh nhân giảm chi phí khi phải chuyển đến tuyến trên như ở Hà Nội hoặc TP. Hồ Chí Minh".

'Giải cứu' mắt lồi do rò động mạch cảnh xoang hang phức tạp bằng can thiệp nội mạch- Ảnh 6.
'Giải cứu' mắt lồi do rò động mạch cảnh xoang hang phức tạp bằng can thiệp nội mạch- Ảnh 7.

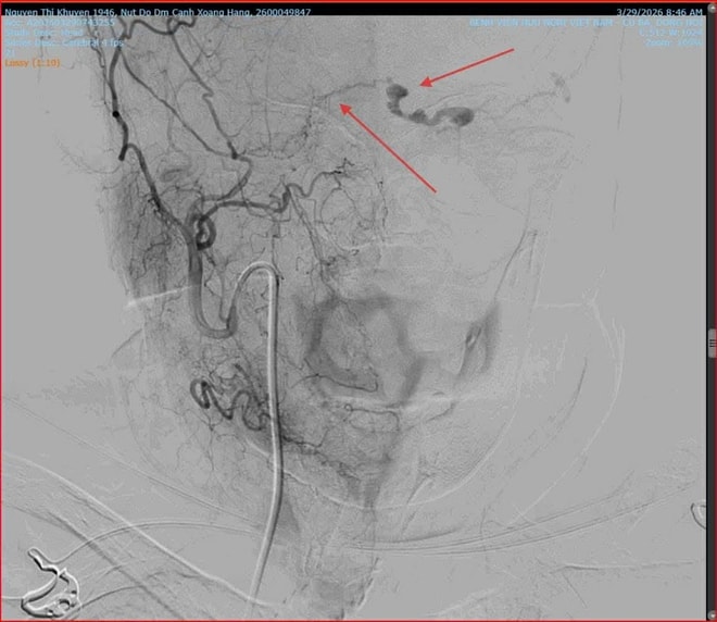
Vị trí rò động mạch (ảnh trái) và sau khi can thiệp bít lỗ rò (ảnh phải).

Các bác sĩ chuyên ngành nhãn khoa khuyến cáo: Nếu sau chấn thương vùng đầu hoặc đột ngột thấy mắt lồi, đỏ, kèm tiếng ù tai như tiếng gió thổi trong đầu theo nhịp mạch, người dân cần đến ngay các cơ sở y tế có chuyên khoa sâu để được chẩn đoán hình ảnh và can thiệp kịp thời. Kỹ thuật nút mạch hiện nay là phương pháp tối ưu, ít xâm lấn, giúp bệnh nhân hồi phục nhanh chóng và tránh được những biến chứng nguy hiểm.

Theo suckhoedoisong.vn
https://suckhoedoisong.vn/giai-cuu-mat-loi-do-ro-dong-mach-canh-xoang-hang-phuc-tap-bang-can-thiep-noi-mach-169260330091701191.htm
Copy Link
https://suckhoedoisong.vn/giai-cuu-mat-loi-do-ro-dong-mach-canh-xoang-hang-phuc-tap-bang-can-thiep-noi-mach-169260330091701191.htm
    Nổi bật
        Mới nhất
        'Giải cứu' mắt lồi do rò động mạch cảnh xoang hang phức tạp bằng can thiệp nội mạch
        • Mặc định
        POWERED BY ONECMS - A PRODUCT OF NEKO