Ho kéo dài sau khi làm răng, người đàn ông phát hiện dụng cụ nha khoa trong phế quản
Bệnh viện Hữu Nghị vừa tiếp nhận và xử trí thành công một trường hợp dị vật phế quản hiếm gặp: dụng cụ nha khoa bằng kim loại dài 2,5 cm – nghi rơi vào đường thở trong khi làm răng Implant tại phòng khám tư nhân.
Vừa qua, Khoa Hô hấp – Dị ứng (Bệnh viện Hữu Nghị) vừa tiếp nhận bệnh nhân nam, 78 tuổi, nhập viện trong tình trạng ho kéo dài và tăng nhiều trong ngày gần đây.
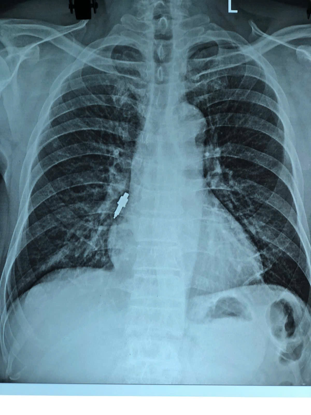
Qua khai thác bệnh nhân cho biết cách đây khoảng hai tuần có thực hiện thủ thuật đặt Implant tại một phòng khám răng tư nhân. Trong quá trình thao tác, bác sĩ nha khoa thông báo có đánh mất một dụng cụ nhưng không xác định được vị trí rơi. Sau khi về, bệnh nhân xuất hiện ho nhẹ kéo dài và tăng dần nên đến bệnh viện thăm khám. Kết quả chụp X-quang cho thấy người bệnh có dị vật nằm tại phế quản phải. Quá trình nội soi cấp cứu trường hợp trên gặp nhiều khó khăn do dị vật to, trơn, mắc sâu trong phế quản.

Nhằm đảm bảo an toàn tối đa cho người bệnh, ê-kíp thủ thuật phối hợp thao tác cẩn trọng để hạn chế nguy cơ chảy máu, rách phế quản hoặc đẩy dị vật sâu hơn. Sau khi gắp thành công dị vật, phế quản bệnh nhân được bơm rửa sạch mủ, cặn máu trong lòng đường thở, người bệnh hiện tỉnh táo, giảm ho rõ rệt.
Theo TS. BS Nguyễn Tiến Dũng (Trưởng khoa hô hấp dị ứng – Bệnh viện Hữu Nghị) do dị vật lớn, trơn và cắm chặt vào phế quản nên không thể gắp bằng kìm sinh thiết – loại thường dùng với các dị vật thông dụng như hạt lạc, xương cá… Nếu không được phát hiện sớm, dị vật kích thước lớn như vậy có thể gây nhiều biến chứng nguy hiểm: tắc nghẽn đường thở, viêm phổi, áp-xe phổi, thậm chí suy hô hấp đe dọa tính mạng.

Theo bác sĩ Dũng mỗi năm Khoa Hô hấp – Dị ứng vẫn tiếp nhận các trường hợp dị vật phế quản như hạt lạc, xương cá, mảnh đồ ăn… Tuy nhiên, dị vật là dụng cụ nha khoa kim loại là tình huống hiếm gặp, nguy cơ cao và cần sự phối hợp nhanh chóng giữa bệnh nhân, cơ sở nha khoa và bệnh viện chuyên khoa. Bác sĩ khuyến cáo người dân khi làm thủ thuật răng – hàm – mặt, đặc biệt là Implant, bác sĩ nha khoa nên sử dụng bảo hộ đường thở (gạc chắn, dụng cụ ngăn rơi).
Sau thủ thuật, nếu người bệnh xuất hiện ho kéo dài, khó chịu vùng ngực, cảm giác vướng, cần đi khám ngay, tránh bỏ sót dị vật. Bên cạnh đó, người dân nên lựa chọn cơ sở nha khoa uy tín để đảm bảo an toàn cho bản thân khi thực hiện các thủ thuật.
Xem thêm video được quan tâm:
