Mổ ruột thừa, bác sĩ phát hiện ung thư thận ở bệnh nhân 76 tuổi
Trong quá trình nhập viện phẫu thuật viêm ruột thừa, bệnh nhân nữ P.T.B. (76 tuổi, xã Vạn Tường, tỉnh Quảng Ngãi) bất ngờ được các bác sĩ phát hiện khối u thận trái, dù trước đó hoàn toàn không có biểu hiện bất thường về sức khỏe.
Chiều 26/1, thông tin từ Bệnh viện Đa khoa Trung ương Quảng Nam, bệnh nhân B. nhập viện với chẩn đoán viêm ruột thừa cấp, không ghi nhận triệu chứng lâm sàng liên quan đến hệ tiết niệu hay các dấu hiệu nghi ngờ bệnh lý ác tính.
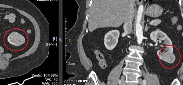
Trong quá trình thăm khám và thực hiện các xét nghiệm cận lâm sàng phục vụ phẫu thuật, các bác sĩ phát hiện khối u tại thận trái.

Sau khi hội chẩn và đánh giá toàn diện tình trạng sức khỏe, ê kíp điều trị thống nhất chỉ định phẫu thuật nội soi cắt một phần thận trái chứa khối u, đồng thời bảo tồn tối đa phần nhu mô thận lành nhằm duy trì chức năng thận cho người bệnh cao tuổi.
Ca phẫu thuật diễn ra thuận lợi, không ghi nhận biến chứng. Sau mổ, người bệnh hồi phục tốt, các chỉ số sinh tồn ổn định, chức năng thận được bảo đảm và được kế thúc điều trị vào ngày 26/1.
Theo các bác sĩ, trường hợp bệnh nhân B. là điển hình cho diễn biến âm thầm của các bệnh lý ung thư, đặc biệt khi ở giai đoạn sớm. Nhiều người bệnh không có triệu chứng rõ ràng, không đau, không mệt mỏi bất thường, nên dễ chủ quan và chỉ phát hiện bệnh khi đi khám vì một lý do hoàn toàn khác.

Thực tế tại Khoa Ngoại tổng hợp, Bệnh viện Đa khoa Trung ương Quảng Nam cho thấy, thời gian qua đơn vị đã tiếp nhận và điều trị nhiều trường hợp ung thư được phát hiện trong những tình huống tương tự. Khi bệnh được phát hiện sớm, việc điều trị thường nhẹ nhàng hơn, ít xâm lấn, giảm nguy cơ biến chứng và giúp người bệnh nhanh chóng hồi phục.
Ngược lại, nếu ung thư chỉ được phát hiện ở giai đoạn muộn, việc điều trị sẽ trở nên phức tạp, tốn kém và ảnh hưởng nghiêm trọng đến sức khỏe, tinh thần cũng như chất lượng sống của người bệnh.
Từ những ca bệnh thực tế, các bác sĩ khuyến cáo người dân không nên chủ quan với sức khỏe của bản thân, đặc biệt là người trung niên, người cao tuổi và những người có yếu tố nguy cơ như tiền sử gia đình mắc ung thư, hút thuốc lá, sử dụng rượu bia hoặc mắc các bệnh mạn tính.
Việc khám sức khỏe định kỳ và tầm soát ung thư theo hướng dẫn của cơ sở y tế chuyên môn giúp phát hiện sớm nhiều bệnh lý tiềm ẩn, trong đó có ung thư, ngay cả khi chưa xuất hiện triệu chứng.
Phát hiện sớm không chỉ giúp tăng hiệu quả điều trị mà còn giảm gánh nặng chi phí, nâng cao chất lượng sống cho người bệnh. Các bác sĩ nhấn mạnh, chủ động kiểm tra sức khỏe định kỳ chính là cách thiết thực nhất để mỗi người tự bảo vệ mình và gia đình trước những căn bệnh nguy hiểm, trong đó có ung thư.