Y tế - Dược
Thời sự - Xã hội
Sức khỏe
Thị Trường
Bảo vệ người dùng
Quốc tế
Chuyện tử tế
Tin mới
Ảnh - Video - Emagazine
Y tế - Dược
Thời sự - Xã hội
Sức khỏe
Thị Trường
Bảo vệ người dùng
Quốc tế
Chuyện tử tế
Tin mới
Ảnh - Video - Emagazine
nam thanh niên
Cập nhập tin tức nam thanh niên
Nghi vấn nam thanh niên nhảy sông Cửu An tự vẫn
Anh Kh. điều khiển xe máy theo hướng từ thôn Phù Lịch (xã Vĩnh Lại) đến xã Ninh Giang. Khi đến cầu Ràm, nam thanh niên để lại xe máy, đôi dép cùng điện thoại và bất ngờ nhảy xuống sông Cửu An.
Thời sự - Xã hội
Nam thanh niên ở TPHCM mất liên lạc sau cuộc gọi với bố, ám ảnh cảnh tượng bên bờ sông
Một ngày sau cuộc gọi cho bố ở Lâm Đồng, nam thanh niên 24 tuổi tại TPHCM mất liên lạc và được phát hiện tử vong dưới sông Tắc, phường Long Phước.
Nam thanh niên ngã xuống biển khi đi câu cá
Anh H.V.A bị ngã xuống biển trong quá trình đi câu cá. Sau đó, anh được đưa đến viện trong tình trạng không tỉnh táo, cơ thể mất nhiệt, co cứng và may mắn được bác sĩ cứu sống.
Kịp thời cứu nam thanh niên bị rắn lục xanh đuôi đỏ cắn khi đi làm rẫy
Từ triệu chứng đau đầu vùng trán, chóng mặt, nam thanh niên được phát hiện chấn thương sọ não
Phẫu thuật nội soi cấp cứu thành công cho nam thanh niên bị đinh xuyên thủng ruột non
Kiểm tra nội soi dạ dày, một thanh niên phát hiện bị nhồi máu cơ tim cấp
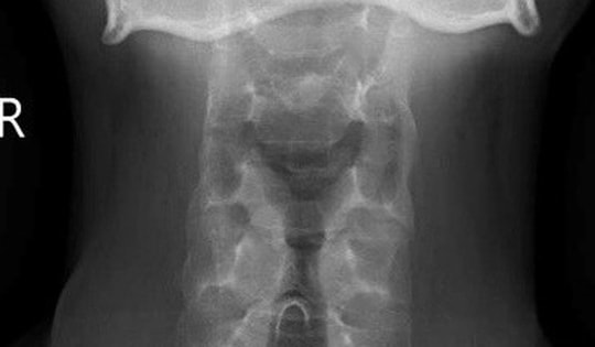
Đau cột sống cổ âm ỉ 5 tháng, nam thanh niên 26 tuổi phát hiện viêm cột sống dính khớp
19/01/2026 16:56
Một nam thanh niên 26 tuổi, là nhân viên văn phòng, vừa được chẩn đoán viêm cột sống dính khớp thể trục tại Bệnh viện E sau nhiều tháng điều trị không hiệu quả do chẩn đoán ban đầu chưa chính xác.
Bình luận sai sự thật về cấp sữa học đường miễn phí, nam thanh niên bị xử phạt
16/01/2026 20:49
Đăng tải nội dung bình luận sai sự thật mang tính suy diễn, ám chỉ có tiêu cực... về cung cấp sữa miễn phí cho trẻ mầm non và học sinh tiểu học, nam thanh niên Quảng Ninh bị cơ quan chức năng xử phạt.
Đăng tin 'con rể ngủ với mẹ vợ' câu view bán hàng online, nam thanh niên bị xử phạt
09/01/2026 19:20
Vì muốn tăng nhiều lượt tương tác phục vụ việc bán hàng online nên anh N.Đ.T đã đăng tải thông tin sai sự thật. Với hành vi này, anh T. bị Công an phường Mạo Khê xử phạt 7,5 triệu đồng
Đốt pháo nổ đăng Facebook để mừng tân gia nhà mới, nam thanh niên bị xử phạt
07/01/2026 12:08
Công an xã Thống Nhất, Quảng Ninh vừa lập hồ sơ xử lý theo quy định đối với một đối tượng có hành vi đốt pháo nổ mừng tân gia, đăng lên Facebook. Hành vi đã vi phạm sử dụng trái phép pháo nổ, mức phạt tiền từ 20 đến 40 triệu đồng theo Điều 13, Nghị định số 282/2025/NĐ-CP ngày 30/10/2025 của Chính phủ.
CSGT đập kính xe, khống chế nam thanh niên say xỉn lái ô tô của người khác bỏ chạy ở TPHCM
05/01/2026 19:25
Lực lượng cảnh sát giao thông đã tiến hành truy đuổi, khống chế thành công đối tượng có biểu hiện say xỉn rồi lái ô tô của người khác bỏ chạy, bàn giao cho công an phường tiếp tục xác minh xử lý.
Đang chơi cầu lông, nam thanh niên 32 tuổi ngừng tim nguy kịch
02/01/2026 10:04
Dù có lối sống lành mạnh, không hút thuốc và thường xuyên luyện tập thể thao, nam thanh niên 32 tuổi ở TPHCM vẫn bất ngờ ngừng tim nguy kịch khi đang chơi cầu lông, do viêm cơ tim cấp.
Thông chốt kiểm tra nồng độ cồn, 2 nam thanh niên điều khiển xe máy tông trúng Đại úy CSGT
29/12/2025 13:38
Mặc dù Tổ công tác đã ra hiệu lệnh dừng phương tiện nhưng 2 thanh niên vẫn cố tình không chấp hành; thậm chí nhấn ga, phóng với tốc độ cao để thông chốt khiến Đại úy CSGT đang đứng làm nhiệm vụ bị thương nặng.
Video giải cứu nam thanh niên rơi xuống hố sâu 10m
26/12/2025 18:35
Đang đi làm rẫy, nam thanh niên 19 tuổi bất ngờ rơi xuống hố sâu 10m do sập nắp gỗ mục. Lực lượng chức năng tỉnh Đồng Nai đã có mặt kịp thời, triển khai phương án cứu hộ để đưa nạn nhân lên mặt đất an toàn.
Giải rượu tại nhà bằng truyền dịch, nam thanh niên bị hôn mê
26/12/2025 09:15
Sau khi uống nhiều rượu, nam thanh niên 26 tuổi đã tự ý truyền dịch tại nhà để giải rượu và bất ngờ rơi vào suy hô hấp cấp, phù phổi nguy kịch, phải thở máy và hồi sức tích cực tại bệnh viện.
'Hóng' được tin có bé bị bắt cóc sang Camphuchia và tử vong, người đàn ông vội đăng lên Zalo gây hoang mang
24/12/2025 17:24
Tình cờ nghe được câu chuyện một cháu bé trên địa bàn bị bắt cóc sang Campuchia và tử vong, không cần tìm hiểu, xác thực, ông N. đã chia sẻ lên Zalo của mình, gây hoang mang dư luận...
Đăng tải clip mê tín dị đoan lên Facebook nhằm trục lợi, nam thanh niên bị xử phạt
18/12/2025 12:01
Với hành vi sử dụng tài khoản Facebook đăng tải nhiều video, clip có nội dung tuyên truyền mê tín, dị đoan nhằm mục đích thu hút người xem và trục lợi, nam thanh niên N.V.T đã bị Phòng An ninh chính trị nội bộ xử phạt 7,5 triệu đồng.
Bệnh viện tuyến tỉnh cứu sống nam thanh niên bị rắn cực độc cắn nguy kịch
16/12/2025 17:19
Bệnh viện Đa khoa Ninh Thuận vừa cứu sống nam thanh niên 27 tuổi bị rắn chàm quạp (hay còn gọi là rắn lục nưa) cắn. Đây là một trong những loài rắn cực độc tại Việt Nam.
Lặn biển 'săn' tôm nhí, nam thanh niên tử vong
13/12/2025 16:36
Ngày 13/12, Chủ tịch Ủy ban nhân dân xã Vạn Tường (Quảng Ngãi) Ung Đình Hiền xác nhận thông tin, trên địa bàn xã vừa xảy ra vụ tai nạn đuối nước thương tâm khiến một người đàn ông tử vong. Nạn nhân là anh Đ.C.T, 37 tuổi, trú thôn An Cường, xã Vạn Tường.
Cứu sống nam thanh niên bị chấn thương tim tại bệnh viện Việt Nam - Thụy Điển Uông Bí
12/12/2025 11:33
Nhập viện trong tình trạng đau ngực dữ dội, khó thở, mạch nhanh sau va đập gây chấn thương tim, nam thanh niên được các bác sĩ tại bệnh viện Việt Nam - Thụy Điển Uông Bí kích hoạt báo động đỏ nội viện, cứu sống kịp thời.
Ăn cá nóc, nam thanh niên bị ngộ độc nguy kịch
11/12/2025 21:36
Sau khoảng 4 giờ ăn cá nóc, nam thanh niên rơi vào tình trạng lơ mơ, gọi hỏi không trả lời. có nguy cơ ngừng thở, ngừng tim và may mắn được bác sĩ Bệnh viện Đa khoa Khu vực Vân Đồn cứu sống.
Xem thêm
Đọc nhiều
POWERED BY
ONE
CMS
- A PRODUCT OF
NEKO