Phẫu thuật nội soi xử lý ca lách xoắn hiếm gặp ở trẻ 40 tháng tuổi

Hùng Trần 06/02/2026 15:46

Lách xoắn ở trẻ em là một tình trạng cấp cứu y khoa hiếm gặp nhưng rất nghiêm trọng. Các bác sĩ Bệnh viện Hữu nghị Việt Nam – Cuba Đồng Hới vừa thực hiện phẫu thuật nội soi điều trị thành công cho bệnh nhi bị lách xoắn.

Ngày 6/2, Bệnh viện Hữu nghị Việt Nam – Cuba Đồng Hới thông tin việc bác sĩ của đơn vị thực hiện thành công ca phẫu thuật nội soi cắt lách xoắn cho bệnh nhi 40 tháng tuổi.

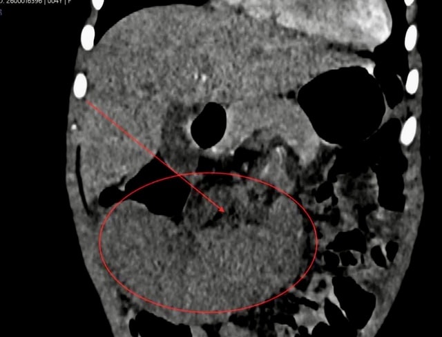
Phẫu thuật nội soi xử lý ca lách xoắn hiếm gặp ở trẻ 40 tháng tuổi- Ảnh 1.
Hình ảnh phần lách của bệnh nhi lớn, nằm ở vị trí bất thường, lách không tưới máu...

Trước đó, bé gái N.T.N. (40 tháng tuổi, trú xã Hoàn Lão, tỉnh Quảng Trị) được chuyển lên từ tuyến dưới trong tình trạng đau bụng nhiều và buồn nôn. Tình trạng đau được người nhà ghi nhận từ 2 ngày trước đó.

Các bác sĩ tiến hành khám và cho bệnh nhân thực hiện các xét nghiệm. Kết quả phát hiện phần lách của bệnh nhi lớn, nằm ở vị trí bất thường, lách không tưới máu (nhồi máu lách), toàn bộ lá lách bị thiếu oxy và dưỡng chất do mạch máu nuôi dưỡng (động mạch lách) bị tắc nghẽn, dẫn đến mô lách bị hoại tử.

BSCKII Hoàng Minh Hùng, Khoa Ngoại Tổng hợp cho biết, sau khi phát hiện tình trạng của bệnh nhi, đơn vị đã tổ chức hội chẩn từ xa với Khoa Nhi Bệnh viện Việt Đức, Bệnh viện Nhi Trung ương và Bệnh viện Nhi đồng 2, thống nhất phương án phẫu thuật nội soi cắt lách.

“Ca mổ kéo dài khoảng 2 giờ, ê-kíp thực hiện phương pháp phẫu thuật nội soi, chỉ mở một đường rạch nhỏ để lấy lách. Nếu phải mổ mở, vết mổ sẽ dài và kém thẩm mỹ, đồng thời nguy cơ dính ruột về sau rất cao. Phẫu thuật nội soi giúp giảm nguy cơ dính và đảm bảo tính thẩm mỹ cho bé gái”, bác sĩ Hùng chia sẻ.

Sau 5 ngày phẫu thuật và điều trị, tình trạng bệnh nhi ổn định được chỉ định xuất viện.

Phẫu thuật nội soi xử lý ca lách xoắn hiếm gặp ở trẻ 40 tháng tuổi- Ảnh 2.
Bác sĩ phẫu thuật nội soi để xử lý tình trạng lách bị xoắn của bệnh nhi.

Bác sĩ Hùng cho biết thêm, lách xoắn (Splenic Torsion) ở trẻ em là một tình trạng cấp cứu y khoa hiếm gặp nhưng rất nghiêm trọng. Tình trạng này xảy ra khi các dây chằng giữ lách ở vị trí bình thường bị lỏng lẻo hoặc thiếu hụt, khiến lách có thể di động tự do trong ổ bụng (thường gọi là lách di động - Wandering Spleen) và tự xoắn quanh cuống mạch máu của chính nó.

Khuyến cáo phụ huynh nhanh chóng đưa con đến các cơ sở y tế để thăm khám, điều trị khi có dấu hiệu bất thường. Không để tình trạng bệnh kéo dài gây nguy hại sức khỏe, tính mạng của trẻ.

Theo suckhoedoisong.vn
https://suckhoedoisong.vn/phau-thuat-noi-soi-xu-ly-ca-lach-xoan-hiem-gap-o-tre-40-thang-tuoi-169260206150631782.htm
Copy Link
https://suckhoedoisong.vn/phau-thuat-noi-soi-xu-ly-ca-lach-xoan-hiem-gap-o-tre-40-thang-tuoi-169260206150631782.htm
    Nổi bật
        Mới nhất
        Phẫu thuật nội soi xử lý ca lách xoắn hiếm gặp ở trẻ 40 tháng tuổi
        • Mặc định
        POWERED BY ONECMS - A PRODUCT OF NEKO