Nam thanh niên có khối u trung thất sau, biến chứng nguy hiểm
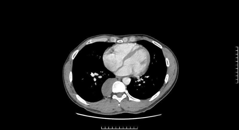
Từ kết quả chụp CTscanner và MRI lồng ngực trên người bệnh cho thấy, khối u kích thước lớn nằm sát cột sống D7 - D11. Qua hội chẩn, các bác sĩ chẩn đoán bệnh nhân bị bệnh lý u trung thất sau, theo dõi u thần kinh và chỉ định phẫu thuật nội soi lồng ngực.
Đại diện Bệnh viện Bãi Cháy (Quảng Ninh) cho biết, mới đây đội ngũ y bác sĩ của đơn vị vừa phẫu thuật nội soi qua đường ngực thành công cắt bỏ khối u trung thất sau vị trí sát cột sống, xâm lấn màng phổi cứu sống bệnh nhân 38 tuổi. Đây là phẫu thuật kĩ thuật cao, chuyên sâu, ít xâm lấn, giúp người bệnh thoát nguy cơ u biến chứng đe dọa tính mạng, giảm đau đớn và phục hồi sức khỏe nhanh chóng.
Trước đó, bệnh nhân nam T.V.Q (38 tuổi, trú tại xã Tây Yên Tử, tỉnh Bắc Ninh) xuất hiện tình trạng khó thở, mệt mỏi, hụt hơi, khó nói, tê tay phải kèm các cơn giật mình vùng thân khi ngủ. Tình trạng kéo dài suốt nhiều tháng. Tuy nhiên, gần đây, triệu chứng đau ngực tăng, thi thoảng giật mình thức giấc nên bệnh nhân đã đến Bệnh viện Bãi Cháy thăm khám.

Tại bệnh viện, nam thanh niên được bác sĩ tiến hành thăm khám lâm sàng và thực hiện các xét nghiệm thăm dò chuyên sâu. Kết quả chụp CTscanner và MRI lồng ngực phát hiện khối u kích thước lớn (33x90x32mm) nằm sát cột sống D7 - D11. Sau khi hội chẩn, các bác sĩ chẩn đoán bệnh nhân bị bệnh lý u trung thất sau, theo dõi u thần kinh và chỉ định phẫu thuật nội soi lồng ngực.
Dưới sự hỗ trợ của các thiết bị phẫu thuật nội soi hiện đại, phẫu thuật viên đã tiếp cận khối u kích thước khoảng 5x10cm, mật độ chắc kéo dài từ cột sống D7 - D11. Sau 3h, ca mổ diễn ra an toàn thành công, cắt bỏ triệt để u trung thất sau, phổi nở tốt, không rò khí và không chảy dịch bạch huyết. Sau 5 ngày phẫu thuật, bệnh nhân phục hồi sức khỏe tốt.
Là người trực tiếp thực hiện phẫu thuật cho bệnh nhân, BS.CKII Nguyễn Mạnh Hùng – Trưởng Khoa Ngoại Thần kinh – Lồng ngực, Bệnh viện Bãi Cháy cho biết: Khối u trung thất sau của người bệnh nằm ở vị trí đặc biệt khó tiếp cận, sát cột sống ngực từ D7 - D11. U nằm sát tĩnh mạch đơn, bó mạch thần kinh liên sườn, xương sườn, cơ thành ngực sau, màng phổi xung quanh u có nhiều xơ dính, nhu mô phổi thùy trên dính vào thành ngực.

Do đó, thao tác gỡ dính, phẫu tích u qua nội soi phải khéo léo, tỉ mỉ, chuẩn xác để tránh tổn thương các cấu trúc quan trọng như: mạch máu lớn, thần kinh liên sườn, tủy sống, màng phổi. Cùng với đó đảm bảo phẫu thuật diễn ra an toàn, không xảy ra biến chứng nguy hiểm trước, trong và sau khi mổ, như: tràn máu khí màng phổi, tổn thương mạch máu lớn, tổn thương ống ngực, thực quản, cột sống - tủy sống rễ thần kinh, nhiễm trùng, tổn thương khí phế quản, rò bạch huyết…
Việc phẫu thuật nội soi xử trí thành công khối u trung thất sau giúp bệnh nhân cải thiện chất lượng cuộc sống, thoát nguy cơ u tiến triển chèn ép thần kinh gây yếu liệt, tràn khí – tràn máu màng phổi, suy hô hấp đe dọa tính mạng.
Các bác sĩ Bệnh viện Bãi Cháy khuyến cáo: Khi người bệnh gặp những triệu chứng như khó thở kéo dài, đau ngực, tê bì tay chân, ho dai dẳng, mệt mỏi không rõ nguyên nhân… cần được thăm khám sớm để phát hiện các bệnh lý trung thất, tránh các biến chứng nặng và nâng cao hiệu quả điều trị.
